Skip to content Skip to sidebar Skip to footer

How Long Does A Broken Elbow Take To Heal - How long will it take to heal?

How Long Does A Broken Elbow Take To Heal - How long will it take to heal?. Many people with shoulder or elbow fractures don't need surgery. How long does broken elbow healing take? Some patients heal faster, some slower. Recovery from an elbow fracture following treatment for an elbow fracture, most children remain in a cast for about four weeks. Different levels of severity will result in differing timelines for recovery.

Complete healing takes a year. The broken elbow healing time can be affected by how severe the injury is as well as what sort of treatment you have had. A fracture that is displaced, or out of alignment, will need surgical intervention so that the elbow can heal properly and bend and straighten after it's healed. Swelling and pain could last from one to two weeks. First, your elbow will feel stiff and painful, but it is important that you continue to move it as this will aid your recovery.

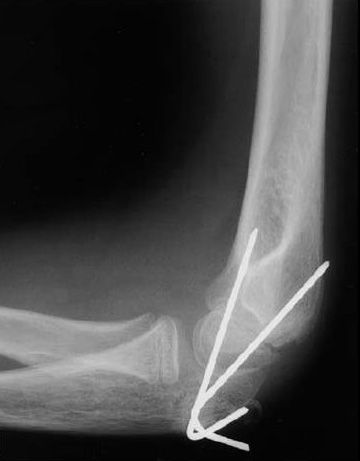
Elbow Fracture
Elbow Fracture from assets.aboutkidshealth.ca
How long does bone healing take? Many people with shoulder or elbow fractures don't need surgery. The most common complication after an elbow fracture (with or without surgery) is stiffness. Go to physical therapy as directed. It usually takes approximately 6 weeks for the fracture to fully heal. Then go through physical therapy. As a broken elbow heals, this new bone may form in areas where bone does not usually grow. In some circumstances your surgeon may recommend an operation either to fix the bone, replace it with an artificial radial head or to excise fragments of bone.

Apply ice on your elbow on your elbow for 15 to 20 minutes every hour or as directed.

According to the american academy of orthopaedic surgeons, the time frame depends on the age of the patient and the type and location of the fracture. Recovery from an elbow fracture following treatment for an elbow fracture, most children remain in a cast for about four weeks. In general, in a healthy person, a broken bone will take about six weeks to heal over 90%. Then go through physical therapy. The time it takes you to recover from an upper arm and elbow fracture depends on the severity of the break. Then use brace for a couple of weeks. Keeping the arm immobilized is a key part of successful recovery, dr. First, your elbow will feel stiff and painful, but it is important that you continue to move it as this will aid your recovery. An injury to the elbow joint area may cause a broken elbow. Go to physical therapy as directed. Whether you have gone through surgery or gotten a simple splint, this amount of time is usually enough for your bones to heal and for you to start using your elbow normally. In most cases, the swelling reduces — and you will probably feel better — after a couple of days. Orthopedic doctors at nyu langone recommend immobilizing the affected arm and joint while the fractured bone or bones heal.

The fracture will typically take six weeks to heal but many people find that they can move the elbow without pain before this time. Arthritis literally means joint inflammation. If the fracture is small and there isn't a lot of bone movement, you will probably wear an arm supporting splint for two to three weeks. In general the healing time can be around six weeks. The time it takes you to recover from an upper arm and elbow fracture depends on the severity of the break.

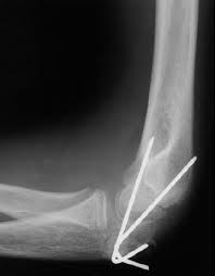
Elbow Fractures In Children An Overview Hss Edu
Elbow Fractures In Children An Overview Hss Edu from www.hss.edu
Some patients heal faster, some slower. Most people think of arthritis as painful joints. The radius and the ulna. If you have fracture that doesn't require surgery, you'll need to wear a sling for two to six weeks. However, while the bones usually take six to eight weeks to knit together, it may take up to a year for the arm to fully return to normal. Healing can range from 6 weeks or even less for certain lower arm and wrist fractures to 6 months for more challenging leg breaks. The elbow joint is a hinge type of joint composed of 3 bones. The time it takes you to recover from an upper arm and elbow fracture depends on the severity of the break.

The time it takes you to recover from an upper arm and elbow fracture depends on the severity of the break.

Healing times vary greatly depending on the type of fracture you have. Healing can range from 6 weeks or even less for certain lower arm and wrist fractures to 6 months for more challenging leg breaks. While a fracture happens to one of the 3 bones, the most common cause is blunt impact on a hard surface or being struck with a solid object such as a baseball or bat. Whether you have gone through surgery or gotten a simple splint, this amount of time is usually enough for your bones to heal and for you to start using your elbow normally. Then go through physical therapy. The time it takes you to recover from an upper arm and elbow fracture depends on the severity of the break. In most cases, the swelling reduces — and you will probably feel better — after a couple of days. And that's with or without surgery. However, the elbow is a joint so, as a space, you really can't break it. Complete healing takes a year. Malunion occurs when healing bones grow back together in an abnormal. Recovery from an elbow fracture following treatment for an elbow fracture, most children remain in a cast for about four weeks. For some, full healing can take up to a year after injury.

It typically takes two to four weeks for a bruised elbow to completely heal (and that can depend on. A fracture that is displaced, or out of alignment, will need surgical intervention so that the elbow can heal properly and bend and straighten after it's healed. For instance, if you have had a splint or cast, it may take less time than if you have had to have surgery carried out. However, the elbow is a joint so, as a space, you really can't break it. How long does therapy for a broken elbow and humerus take?

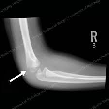
Elbow Contusion Bruise Causes Symptoms Treatment
Elbow Contusion Bruise Causes Symptoms Treatment from sgbonedoctor.com
Go to physical therapy as directed. In most cases, the swelling reduces — and you will probably feel better — after a couple of days. It typically takes two to four weeks for a bruised elbow to completely heal (and that can depend on. Nonunion of a broken elbow can be treated by replacing the elbow with an artificial joint or by bone grafting. A fracture that is displaced, or out of alignment, will need surgical intervention so that the elbow can heal properly and bend and straighten after it's healed. Whether you have gone through surgery or gotten a simple splint, this amount of time is usually enough for your bones to heal and for you to start using your elbow normally. How long will it take to heal? Read also symptoms of trigger finger syndrome

What does recovery look like with elbow fractures?

If bone fragments cut through the skin, a operation will be required to thoroughly clean the area and to fix the fracture. For some, full healing can take up to a year after injury. Arthritis literally means joint inflammation. Bone grafting involves placing additional bone around the area of the nonunion. The bone may take longer to heal if you suffer from diabetes or if you smoke. Casting extends above the elbow and down to the wrist, leaving the fingers free and the arm placed in a sling. How long does bone healing take? Open reduction and internal fixation (orif) is a type of surgery used to stabilize and heal a broken bone. Whether you have gone through surgery or gotten a simple splint, this amount of time is usually enough for your bones to heal and for you to start using your elbow normally. Use an ice pack, or put crushed ice in a plastic bag. We will do all we can to help your child emerge stronger. If you have fracture that doesn't require surgery, you'll need to wear a sling for two to six weeks. It is quite common to still experience some mild loss of mobility after this time, so it is very important to continue the range of motion and strength exercises that you learned in physical therapy.